Dobar dan svima, koliko vas ima….
Sigurno među vama ima onih koji su danas dogovorili termin kod zubara.
Reći ćete: „ Neeeeee, to je grozno, ne želim!“
Nemojte tako. Danas kod zubara može biti sasvim ugodno. Evo, na primjer kod nas vam je baš lijepo, slušate finu glazbu, ništa ne boli i štogod mi radili, vi samo odmarate.
Ne, stvarno, ne zezam. Imamo pacijente koji nakon opsežnih sanacija koje traju duže vrijeme se žaloste, jer neće trebati više dolaziti. Onda ih mi zovemo na kavu, pa samo malo „pročavrljamo“.
Htjela sam vam danas malo objasniti neke stvari iz područja ortodoncije. To je „ono kad imate zbrčkane zube“, a željeli bi imati ravne i lijepo poredane, pa dobijete aparatić za zube. Nekad su samo djeca nosila te aparatiće i to samo po noći. Mogli su se skidati i staviti po potrebi, pa smo ih zvali „mobilni aparatići“. To su super stvari, ali ako ih se nosi.

Kod nas u Hrvatskoj je to za djecu besplatno, kao nigdje na svijetu, ali zato ih djeca ne nose, roditelji ih ne motiviraju i terapija rijetko dobro završi. Dakle, taj aparatić može imati izvrstan učinak, ali treba biti uporan i nositi ga…
Druga vrsta aparatića je fiksni aparat, dakle, njega ne možete skinuti i on djeluje od trenutka kada ga se postavi, zato je i vrlo učinkovit, jer su sile koje djeluju konstantne. Taj aparatić se nosi oko 2 godine
Danas aparatići nisu rezervirani samo za djecu, sve više odraslih traži aparatić kod svog stomatologa.
Svi koji imaju problem, a imaju preduvjete, bez obzira na godine mogu dobiti aparatić.
Kako sve ide naprijed, tako i izrada bravica i žicaza te aparatići se mijenjaju.
Tako danas postoje aparatići koji se nose 6 mjeseci i zato se zovu Six Month Smiles.
To je estetski usmjerena ortodoncija namijenjena pacijentima koji ne žele ili nemaju vremena za konvencionalnu ortodonciju.
Karakteristike tog sustava su jedinstvene. Radi se o prozirnim bravicama i bijelim žicama, što aparatić čini gotovo nevidljivim. Ovim sustavom se ispravljaju zbijeni i nepravilno položeni, razmaknuti zubi, pa je primjenjiv u većini slučajeva.
U našoj ordinaciji smo se u zadnje vrijeme usmjerili upravo na tu metodu i jako nam se sviđa.
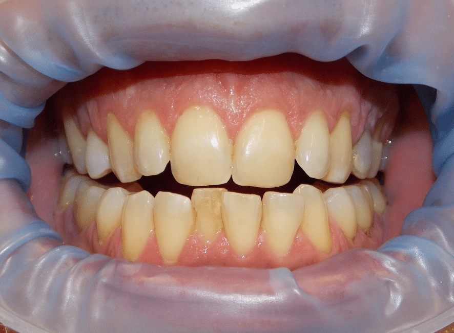
Prije

Šest mjeseci poslije

Ima još raznih metoda, ali nećemo vas zamarati s time.
Jedno morate znati! Ako nosite fiksni aparatić morate prati zube redovito, savjesno i dovoljno dugo. Trebate koristiti sva moguća pomagala za pranje zuba, jer vam se može dogoditi da nakon što skinete aparatić imate 5-6 karijesa.
Dakle uz aparatić ide žestoko pranje zuba – četkica, interdentalna, tušić……, a najbolje vam je svaki mjesec kod zubara na kontolu i profesionalno čišćenje, pa ste sigurni.
Eto, dragi moji, ja opet završila s četkicom u ruci, ali što ćete kad je to istina.
Higijena je pola zdravlja. Zato trljajte i bit ćete sretni……i hvala na strpljenju.
Inga Vučković dr. med. dent.
Najdoktor od 2014. godine
Lorem ipsum dolor sit amet, consectetur adipiscing elit. Pellentesque commodo dolor vitae porta placerat. Ut quis urna eget mauris malesuada finibus. Quisque sed nunc quis nibh tempus mattis sit amet et orci. Aliquam quis leo nulla. Quisque et diam sapien. Fusce sagittis in dolor in suscipit. Nullam finibus pharetra libero. Lorem ipsum dolor sit amet, consectetur adipiscing elit. Pellentesque commodo dolor vitae porta placerat. Ut quis urna eget mauris malesuada finibus. Quisque sed nunc quis nibh tempus mattis sit amet et orci. Aliquam quis leo nulla. Quisque et diam sapien. Fusce sagittis in dolor in suscipit. Nullam finibus pharetra libero, Lorem ipsum dolor sit amet, consectetur adipiscing elit. Pellentesque commodo dolor vitae porta placerat. Ut quis urna eget mauris malesuada finibus. Quisque sed nunc quis nibh tempus mattis sit amet et orci. Aliquam quis leo nulla. Quisque et diam sapien. Fusce sagittis in dolor in suscipit. Nullam finibus pharetra libero. Lorem ipsum dolor sit amet, consectetur adipiscing elit. Pellentesque commodo dolor vitae porta placerat. Ut quis urna eget mauris malesuada finibus. Quisque sed nunc quis nibh tempus mattis sit amet et orci. Aliquam quis leo nulla. Quisque et diam sapien. Fusce sagittis in dolor in suscipit. Nullam finibus pharetra libero. Lorem ipsum dolor sit amet, consectetur adipiscing elit. Pellentesque commodo dolor vitae porta placerat. Ut quis urna eget mauris malesuada finibus. Quisque sed nunc quis nibh tempus mattis sit amet et orci. Aliquam quis leo nulla. Quisque et diam sapien. Fusce sagittis in dolor in suscipit. Nullam finibus pharetra libero, Lorem ipsum dolor sit amet, consectetur adipiscing elit. Pellentesque commodo dolor vitae porta placerat. Ut quis urna eget mauris malesuada finibus. Quisque sed nunc quis nibh tempus mattis sit amet et orci. Aliquam quis leo nulla. Quisque et diam sapien. Fusce sagittis in dolor in suscipit. Nullam finibus pharetra libero.
Lorem ipsum dolor sit amet, consectetur adipiscing elit. Pellentesque commodo dolor vitae porta placerat. Ut quis urna eget mauris malesuada finibus. Quisque sed nunc quis nibh tempus mattis sit amet et orci. Aliquam quis leo nulla. Quisque et diam sapien. Fusce sagittis in dolor in suscipit. Nullam finibus pharetra libero, sit amet fringilla sem ultricies a. Nunc est turpis, tincidunt vel dictum quis, bibendum a quam.